Wenn die natürliche Zahnkrone irreparabel beschädigt wurde, die Zahnwurzel jedoch noch stabil ist, ist eine künstliche Zahnkrone als Zahnersatz die optimale Lösung. In der CompletDent Zahnklinik Budapest erhalten Sie hochwertige Kronen, die sich perfekt in die verbliebene Zahnreihe einfügen - und das zu unschlagbar günstigen Preisen!
- CompletDent Zahnkronen: Alle Infos auf einen Blick
- In welchen Fällen wird eine Zahnkrone eingesetzt?
- Wie werden Zahnkronen eingesetzt: In zwei Terminen zur künstlichen Krone
- Zahnkronen Material: Metall, Keramik oder Metallkeramik?
- Zahnkronen von CompletDent: Was sind Ihre Vorteile?
- Zahnkronen - die wichtigsten Daten zusammengefasst auf einen Blick
Fragen Sie sich, ob eine Überkronung die geeignete Lösung für Ihr Zahnproblem ist? Überlegen Sie, welches Material am besten geeignet ist? Suchen Sie eine Lösung mit optimalem Preis-Leistungs-Verhältnis? Das erfahrene Team der CompletDent Zahnklinik Budapest berät Sie gern!
Jetzt Unverbindlich Beraten Lassen
CompletDent Zahnkronen: Alle Infos auf einen Blick
Die künstliche Zahnkrone zählt zum festen bzw. festsitzenden Zahnersatz. Durch die Überkronung werden Ästhetik und Funktionalität der Zahnreihe wiederhergestellt; zudem beugt der Erhalt der natürlichen Kaubelastung auf Zahnwurzel und Kiefer Knochenschwund vor. Neben der vollständigen Überkronung sind auch Teilkronen möglich.
- Empfohlener Aufenthalt in Budapest: 4 -5 Tage
- Behandlungseinheiten: 4 Termine
- Dauer der Behandlung: 100 min je Termin
- Kosten: hochwertige Zirkonkronen ab 340 Euro, Metallkeramikkronen ab 215 Euro
In welchen Fällen wird eine Zahnkrone eingesetzt?
Eine künstliche Zahnkrone wird eingesetzt, wenn die natürliche Zahnkrone stark beschädigt ist und nicht durch eine Zahnfüllung, ein Inlay bzw. Onlay oder ein Veneer repariert werden kann. Typische Fälle sind:
- Sturz oder Schlag, der zum Abbrechen des Front- oder Eckzahns führt
- Kariesschäden an der natürlichen Zahnkrone. Lesen Sie mehr zum Thema Karies.
- Überkronung nach Wurzelbehandlung, da die natürliche Zahnkrone bei der Wurzelbehandlung aufgebohrt wird und an Stabilität verliert
- Teleskopkrone zur Befestigung einer Brücke bzw. Prothese. Der überkronte Zahnstumpf trägt die sog. Primärkrone. Beim Einsetzen des Zahnersatzes schiebt sich die eingearbeitete Sekundärkrone passgenau auf die Primärkrone. Erfahren Sie mehr zum Thema Teleskopprothese.
Für eine erfolgreiche Überkronung müssen drei Voraussetzungen erfüllt sein:
- stabile Zahnwurzel – vitale Zahnwurzel mit gesundem Zahnmark oder devitale, mit Wurzelzement aufgefüllte Zahnwurzel
- genügend Restzahnsubstanz zur Verankerung der Krone – bei wurzelbehandelten Zähnen kann ein einzementierter Stift zusätzliche Stabilität bieten
Wenn die natürliche Wurzel nicht hinreichend stabil ist, kann eine künstliche Zahnkrone auf ein Zahnimplantat, also auf eine künstliche Zahnwurzel aufgesetzt werden.
| Zahnkrone auf künstlicher Zahnwurzel - Zahnimplantat |
Wie werden Zahnkronen eingesetzt:
In zwei Terminen zur künstlichen Krone
Die Überkronung eines Zahnes erfordert nur einen kurzen Aufenthalt in der CompletDent Zahnklinik in Budapest.
In der ersten Sitzung wird:
- die beschädigte Zahnkrone zu einem glatten Stumpf zurecht geschliffen
- die Zahnfarbe bestimmt
- ein Abdruck des Kiefers genommen, der dem Zahntechniker als Grundlage für die maßgeschneiderte Anfertigung der künstlichen Zahnkrone dient
- der Zahnstumpf temporär mit einer provisorischen Krone versorgt
Im zweiten Behandlungstermin wird:
- die provisorische Krone entfernt
- die künstliche Zahnkrone eingesetzt, angepasst und auf den Zahnstumpf zementiert
Jetzt Termin Vereinbaren
Die künstliche Krone sieht aus wie echt und sitzt ebenso fest wie ein natürlicher Zahn: Nun können Sie wieder strahlend lächeln und fest in jeden Apfel beißen!
| Ein selbstbewusstes & strahlendes Lächeln dank CompletDent |
Die optimale Lösung für Angstpatienten: Schmerz- und stressfreie Behandlungen dank Sedierung
Angstpatienten können sich voll Vertrauen an die CompletDent Zahnklinik Budapest wenden: Wir gestalten die Behandlung so angenehm wie möglich und bieten auf Wunsch auch eine wache Sedierung, die Sie in einen entspannten Dämmerschlaf versetzt. So können Sie die Zahnbehandlung ohne Angst und Stress angehen.
Zahnkronen Material: Metall, Keramik oder Metallkeramik?
Stabil, korrosionsbeständig und biokompatibel - diese Eigenschaften haben alle Werkstoffe, die zur Fertigung künstlicher Zahnkronen verwendet werden:
- Kunststoff: optimal für provisorische Versorgungen.
- Vollgusskronen aus Metall: preiswert, aber ästhetisch nachteilig, eher für den Backenzahnbereich geeignet.
- Verblendkronen aus einem Metallkern mit zahnfarbener Keramik- oder Kunststoffverblendung: gutes Preis-Leistungsverhältnis. Eine Sonderform ist die Galvanokrone, bei der eine dünne Goldschicht zwischen Zahnstumpf und Keramikkrone liegt.
- Vollkeramikkronen (auch: Jacket- bzw. Mantelkronen) aus Porzellan oder Zirkonoxid: ästhetisch hochwertig, dem natürlichen Zahn in Farbe und Lichtdurchlässigkeit am ähnlichsten.
Gerade bei hochwertigen Zahnkronen aus Zirkonoxid lohnt die Reise nach Budapest: In der CompletDent Zahnklinik profitieren Sie von einem deutlichen Preisvorteil - vergleichen Sie selbst!
Zahnersatzrechner
Bei Zahnbehandlungen in Budapest können Sie bis zu 70% sparen - vergleichen Sie selbst!
Nutzen Sie unseren Kostenrechner, um einen Preisvergleich für die geplante Behandlung zu erhalten!
Metall-Keramik Krone
Zirkon Krone
Teleskop-Krone
Implantat
Informieren Sie Sich Über Zahnerzatskosten
Zahnkronen von CompletDent: Was sind Ihre Vorteile?
Überzeugen auch Sie sich von den Vorteilen unserer Zahnklinik:
- hochwertige Materialien und modernste Dentaltechnik: Unser erfahrenes Ärzteteam arbeitet mit Produkten international anerkannter Markenhersteller wie Dürr Dental, mectron und Owandy Radiology.
- Krankenkassenzuschüsse wie in Deutschland: Für eine Behandlung in Ungarn erhalten Sie dieselbe Zuzahlung für Zahnersatz wie daheim.
- günstigere Preise für hochwertigen Zahnersatz: Der Eigenanteil ist damit deutlich geringer als bei der Behandlung in Deutschland.
Ihr Preis in der CompletDent Zahnklinik | Preis in Deutschland | |
Zirkonkrone im Frontbereich | 340 EUR | 700-1.000 EUR |
Metallkeramikkrone im Frontbereich | 215 EUR | 400-600 EUR |
Metallkeramikkrone im Backenzahnbereich | 215 EUR | 400-600 EUR |
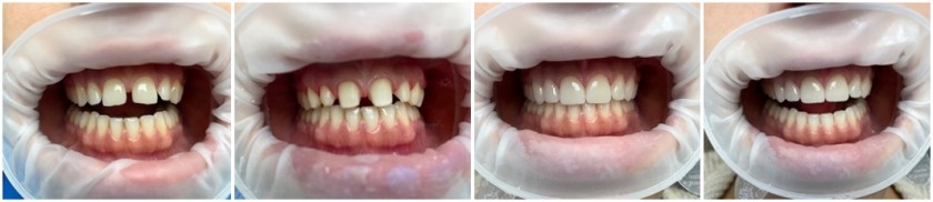
Zahnkrone Vorher - Nachher
Die unten stehenden Vorher-Nachher-Ansichten verdeutlichen, welche Resultate mit Vollkeramik-Zahnkronen im Frontzahnbereich erzielt werden können.
Sie sehen hier den Fortschritt der Behandlung bei einer Patientin in unserer Praxis:
- Das Vorher-Bild (ganz links) dokumentiert den ursprünglichen Zustand: Auffällig sind vor allem große Lücken zwischen den Schneidezähnen im Oberkiefer und leichte Fehlstellungen der Frontzähne im Bereich des Unterkiefers.
- Auf Bild 2 von links ist das Gebiss nach Abschleifen der beschädigten Zahnkronen zu sehen.
- Anschließend erfolgte die Versorgung mit provisorischen Zahnkronen (2. von rechts).
- Durch die Versorgung mit E-Max Kronen (ganz rechts) wurden die Zahnlücken zwischen den Schneidezähnen im Oberkiefer geschlossen. Das Ergebnis: Eine ebenmäßige Zahnreihe mit natürlicher Optik und ein strahlendes Lächeln.
Auf Wunsch übernehmen wir die Reiseorganisation für Sie!
Nutzen Sie die Zahnbehandlung in der CompletDent Zahnklinik in Budapest für einen erholsamen Kurzurlaub in der ungarischen Hauptstadt! Die Reiseorganisation können Sie gern uns überlassen: Wir organisieren Anreise, Unterkunft und Kliniktransfer ganz nach Ihren Wünschen.
| Wir unterstützen Sie gerne bei Ihrer Reiseplanung |
Haben Sie Fragen zum Thema künstliche Zahnkronen? Sind Sie auf der Suche nach einer optimalen Lösung für Ihr Zahnproblem? Möchten Sie einen Kostenvoranschlag für eine Überkronung einholen?
Vereinbaren Sie am besten jetzt gleich einen Termin für eine kostenlose Videoberatung mit einem unserer Experten - wir beraten Sie gerne!
Zahnkronen - die wichtigsten Daten zusammengefasst auf einen Blick
Empfohlener Aufenthalt in Budapest: | 4-5 Tage |
Behandlungseinheiten: | 4 Termine |
Dauer der Behandlung: | 100 Minuten pro Termin |
Anästhesie: | örtliche Betäubung |
Kosten: | Hochwertige Zirkonkronen ab 340 Euro, Metallkeramikkronen ab 215 Euro |
Vorteile auf einen Blick: |
Daten werden verarbeitet...

Die Datenverarbeitung kann von der Größe der Dateien abhängend mehrere Minuten dauern. Bitte warten Sie...
* Ihr Name:
* Ihre E-Mail:
Telefon oder Handy:
|
Dürfen wir Sie zurückrufen?
|
|
Möchten Sie Anlagen beifügen?
(z.B. Röntgenbild, Kostenplan, Foto) |
1. Anlage beifügen:
2. Anlage beifügen:
3. Anlage beifügen:
4. Anlage beifügen:
5. Anlage beifügen:
Wie können wir Ihnen weiterhelfen?
* Creditcard:










